このAHA 17 SEGMENT INTERACTIVE HEAについて
すぐにすべてのために不可欠で学生をエコー、AHA 17セグメントの心臓モデルを学びます!
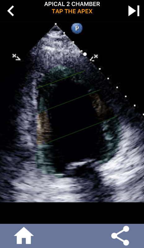
超音波心エコー検査技師にとって、磁気共鳴画像法、心臓核検査などの他の多くの画像診断法で広く使用されている標準である、アメリカ心臓協会の心臓の心臓の17セグメントへのセグメント化を学ぶこと影響を受けるセグメントと機能の何度もあなたのエコーを読んでいる人は "あなたは何を見ましたか?"と尋ねるでしょう。そして影響を受けた地域の正確な位置を返信することが期待されるものです。
このアプリは、AHAセグメント心筋を示すすべてのエコービューが含まれており、正しいセグメントをタップするようにあなたをクイズします。私は個人的には、繰り返しのクイズはすぐに私が主題を学ぶ/暗記する必要があるときに私のために最も効果的であるとわかります。あなたがエコー/ TTEを勉強している超音波学生であるならば、私はこれがあなたの研究への素晴らしい補完物であると思います。
アプリの動作を確認するには、YouTubeのビデオリンクをご覧ください。
APP免責事項
アドバイスなし
このアプリ(「App」)は情報提供のみを目的としており、医療上または治療上のアドバイスではありません。また、そのようなものとしてユーザーによって扱われることはありません。そのため、このアプリは、医学的診断の目的で、または医療または治療の推奨として信頼されていない可能性があります。このアプリの情報は専門的な医療アドバイス、診断や治療の代わりになるものではありません。このアプリに含まれる、またはこのアプリを通じて利用可能なテキスト、グラフィック、画像および情報を含むすべてのコンテンツは、一般的な情報提供のみを目的としています
信頼なし
あなたは、医学的治療のための診断または勧告のためにこのアプリを使用して得られたいかなる情報も決して信頼してはなりません。あなたは、あなたの医師または他の専門の医療提供者からの医学的アドバイスに代わるものとして、このアプリから受け取られる情報に決して信頼してはいけません。
あなたは決して専門の医学的アドバイスを無視したり、あなたがこのアプリで見たりアクセスしたことがある情報の結果として医学的治療を探すことを遅らせてはいけません。あなたが医学的事項について何か具体的な質問をしている場合は、あなたの医師または他の専門の医療提供者に相談してください。もしあなたがあなたがあなたがどんな医学的条件からでも苦しんでいるかもしれないと思うならば、あなたは直ちに医学的注意を見るべきです。
無保証
このアプリによって提供される情報は、明示または黙示を問わず、いかなる表明または保証なしに「現状のまま」提供されます。 ECLECKTIC GOODIES INCは、このAppの医療情報またはその他の情報に関して、いかなる表明または保証も行いません。
ECLECKTIC GOODIES INCは、次のことを保証しません。
- このアプリによって提供される情報は常に利用可能、またはまったく利用可能になります。
または
- このアプリによって提供される情報は、完全、真、正確、最新、または誤解を招かないものです。
ECLECKTIC GOODIES INCは、このアプリの使用を通じて得られたいかなる助言、治療の進捗状況、診断、またはその他の情報、サービス、製品について一切責任を負いません。
アプリを使用してアプリをダウンロードすることにより、あなたはそれを認めています:
- この医学的免責事項を理解していること。
- あなたはこの医学的免責事項に同意します。
- あなたはAPPをダウンロードするとすぐに影響を受けるものとし、この医学的免責事項に法的に拘束されることに同意します。
あなたがこの医学的免責条項に法的に拘束されることに同意しない場合、あなたはアプリにアクセスできない、あなたの名前でアプリを登録する、またはアプリを使用することができません。






