关于AHA 17 SEGMENT INTERACTIVE HEA
快速学习AHA 17段心脏模型,对于所有的学生呼应必不可少的!
超声心动图学家必须将美国心脏协会的左心室心脏分割学成17个节段,这是许多其他成像方式广泛使用的标准,如磁共振成像,心脏核试验等......来描述位置受影响的部分和功能。阅读你的回声的人多次会问“你看到了什么?”并回复受影响区域的确切位置是预期的。
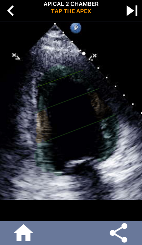
这个应用程序包含显示AHA分段心肌的所有回声视图,并将测验您点击正确的段。我个人发现,当我需要快速学习/记忆主题时,重复性测验最适合我。如果您是一名研究echo / TTE的超声学生,我认为这将是您学习的绝佳补充。
看一下youtube视频链接,查看应用程序的运行情况
APP免责声明
没有建议
此应用程序(“应用程序”)仅提供信息,不是医疗或治疗建议,用户可能不会这样做。因此,可能不会依赖此应用程序用于医疗诊断或作为医疗护理或治疗的建议。此应用程序的信息不能替代专业医疗建议,诊断或治疗。本应用程序中包含或通过本应用程序提供的所有内容(包括文本,图形,图像和信息)仅供一般参考
没有信赖
您绝不能依赖使用此应用程序获取的任何信息,以进行任何诊断或建议进行医疗。您绝不能依赖本应用程序收到的信息作为您的医生或其他专业医疗保健提供者的医疗建议的替代方案。
由于您通过本应用程序查看或访问过的任何信息,您绝不能放弃专业医疗建议或延迟寻求医疗处理。如果您对任何医疗问题有任何具体问题,您应该咨询您的医生或其他专业医疗保健提供者。如果您认为您可能会遇到任何医疗条件,您应该立即寻求医疗注意。
没有保修
本应用程序提供的信息“按原样”提供,不作任何明示或暗示的陈述或保证。 ECLECKTIC GOODIES INC对本应用程序中的医疗或其他信息不作任何陈述或保证。
ECLECKTIC GOODIES INC不保证:
- 本应用程序提供的信息将持续可用,或者根本不可用;
要么
- 本应用程序提供的信息完整,真实,准确,最新或无误导性。
ECLECKTIC GOODIES INC对您通过本应用程序使用的任何建议,治疗,诊断或任何其他信息,服务或产品不承担任何责任或义务。
通过使用appyou下载app已经承认:
- 您已经阅读了解此医疗免责声明。
- 您同意此医疗免责声明。
- 您同意接受本医疗免责声明的法律约束,这将立即对下载应用程序产生影响。
如果您不同意受此医疗免责声明的法律约束,您可能无法访问该应用程序,根据您的名称注册该应用程序,或使用该应用程序。






