เกี่ยวกับ AHA 17 SEGMENT INTERACTIVE HEA
เรียนรู้อย่างรวดเร็ว AHA 17 ส่วนรูปแบบการเต้นของหัวใจที่จำเป็นสำหรับ ALL สะท้อนนักเรียน!
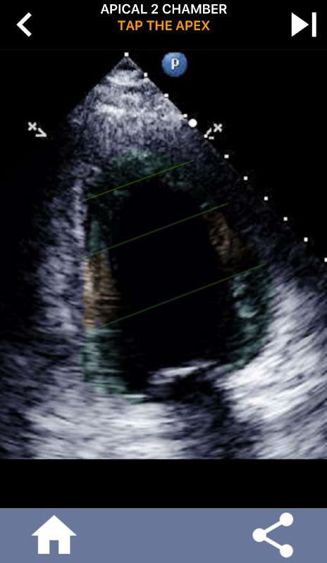
มันเป็นสิ่งสำคัญสำหรับ echocardiographers อัลตราซาวนด์ที่จะเรียนรู้การแบ่งส่วนหัวใจอเมริกันสมาคมหัวใจช่องซ้ายเป็น 17 ส่วนซึ่งเป็นมาตรฐานที่ใช้กันอย่างแพร่หลายโดยรังสีถ่ายภาพอื่น ๆ เช่นการถ่ายภาพด้วยคลื่นสนามแม่เหล็ก, การทดสอบนิวเคลียร์หัวใจ ฯลฯ ของกลุ่มและฟังก์ชั่นที่ได้รับผลกระทบ หลายครั้งที่คนอ่านเสียงสะท้อนของคุณจะถามว่า "คุณเห็นอะไร" และการตอบกลับด้วยตำแหน่งที่แน่นอนของพื้นที่ที่ได้รับผลกระทบเป็นสิ่งที่คาดหวัง
แอพนี้มีมุมมอง echo ทั้งหมดที่แสดง myocardium ที่แบ่งกลุ่ม AHA และจะตอบคำถามคุณเพื่อแตะส่วนที่ถูกต้อง โดยส่วนตัวแล้วฉันพบว่าการสอบย่อยแบบทำซ้ำได้ผลดีที่สุดสำหรับฉันเมื่อฉันต้องการเรียนรู้ / จดจำหัวข้ออย่างรวดเร็ว หากคุณเป็นนักเรียนอัลตราซาวนด์ที่เรียน echo / TTE ฉันคิดว่านี่จะเป็นส่วนเสริมที่ยอดเยี่ยมสำหรับการเรียนของคุณ
ลองดูที่ลิงก์วิดีโอ youtube เพื่อดูแอปที่ใช้งานอยู่
การปฏิเสธความรับผิด APP
ไม่มีคำแนะนำ
แอพนี้ (“ แอพ)” ให้ข้อมูลเท่านั้นไม่ใช่คำแนะนำทางการแพทย์หรือการบำบัดและอาจไม่ได้รับการปฏิบัติเช่นนั้นโดยผู้ใช้ ดังนั้นแอพนี้จึงไม่อาจเชื่อถือได้สำหรับวัตถุประสงค์ในการวินิจฉัยทางการแพทย์หรือเป็นคำแนะนำสำหรับการดูแลทางการแพทย์หรือการรักษา ข้อมูลในแอพนี้ไม่ได้ใช้แทนคำแนะนำทางการแพทย์การวินิจฉัยหรือการรักษา เนื้อหาทั้งหมดรวมถึงข้อความกราฟิกรูปภาพและข้อมูลที่มีอยู่ในหรือมีให้บริการผ่านแอพนี้มีวัตถุประสงค์เพื่อให้ข้อมูลทั่วไปเท่านั้น
ไม่มีความเชื่อมั่น
คุณต้องไม่พึ่งพาข้อมูลใด ๆ ที่ได้รับจากการใช้แอพนี้เพื่อวินิจฉัยหรือแนะนำการรักษาทางการแพทย์ใด ๆ คุณต้องไม่พึ่งพาข้อมูลที่ได้รับจากแอปนี้เป็นทางเลือกในการให้คำแนะนำทางการแพทย์จากแพทย์ของคุณหรือผู้ให้บริการดูแลสุขภาพมืออาชีพอื่น ๆ
คุณต้องไม่เพิกเฉยต่อคำแนะนำด้านการแพทย์อย่างมืออาชีพหรือชะลอการแสวงหาการรักษาทางการแพทย์อันเป็นผลมาจากข้อมูลใด ๆ ที่คุณเห็นหรือผ่านแอปนี้ หากคุณมีคำถามเฉพาะใด ๆ เกี่ยวกับเวชภัณฑ์ใด ๆ ที่คุณควรปรึกษาแพทย์หรือผู้เชี่ยวชาญด้านการดูแลสุขภาพมืออาชีพอื่น ๆ ของคุณ หากคุณคิดว่าคุณอาจต้องทนทุกข์ทรมานจากสภาพการใช้ยาใด ๆ คุณควรขอความสนใจจากแพทย์ทันที
ไม่รับประกัน
ข้อมูลที่ได้รับจากแอพนี้มีให้ "ตามสภาพ" โดยไม่มีการรับรองหรือรับประกันไม่ว่าโดยชัดแจ้งหรือโดยนัย ECLECKTIC GOODIES INC ไม่ได้เป็นตัวแทนหรือรับประกันเกี่ยวกับข้อมูลทางการแพทย์หรือข้อมูลอื่น ๆ ในแอพนี้
ECLECKTIC GOODIES INC ไม่รับประกันว่า:
- ข้อมูลที่ได้รับจากแอพนี้จะมีให้อย่างต่อเนื่องหรือมีอยู่ทั้งหมด;
หรือ
- ข้อมูลที่แอพนี้จัดทำขึ้นมีความสมบูรณ์ถูกต้องเป็นจริงทันสมัยหรือไม่ทำให้เข้าใจผิด
ECLECKTIC GOODIES INC ไม่รับผิดชอบหรือรับผิดใด ๆ สำหรับคำแนะนำใด ๆ หลักสูตรของการรักษาการวินิจฉัยหรือข้อมูลอื่น ๆ บริการหรือผลิตภัณฑ์ใด ๆ ที่คุณได้รับผ่านการใช้งานของ app นี้
โดยการดาวน์โหลดแอพโดยใช้แอปที่คุณได้ยอมรับว่า:
- คุณได้อ่านเข้าใจการปฏิเสธความรับผิดทางการแพทย์นี้
- คุณเห็นด้วยกับข้อ จำกัด การแพทย์นี้
- คุณตกลงที่จะผูกพันตามกฎหมายโดยการปฏิเสธความรับผิดทางการแพทย์นี้ซึ่งจะมีผลทันทีเมื่อดาวน์โหลดแอป
หากคุณไม่เห็นด้วยที่จะผูกพันตามกฎหมายโดยการปฏิเสธความรับผิดทางการแพทย์นี้คุณอาจไม่สามารถเข้าถึงแอพลงทะเบียนแอพภายใต้ชื่อของคุณหรือใช้แอป
What's new in the latest 8.0.0
ข้อมูล AHA 17 SEGMENT INTERACTIVE HEA APK
AHA 17 SEGMENT INTERACTIVE HEA รุ่นเก่า
AHA 17 SEGMENT INTERACTIVE HEA 8.0.0
AHA 17 SEGMENT INTERACTIVE HEA 6.0.0
การดาวน์โหลดที่รวดเร็วและปลอดภัยเป็นพิเศษผ่านแอป APKPure
คลิกเพียงครั้งเดียวเพื่อติดตั้งไฟล์ XAPK/APK บน Android!






