AHA 17 SEGMENT INTERACTIVE HEA
20.4 MB
Rozmiar Pliku
Everyone
Android 5.0+
Android OS
O AHA 17 SEGMENT INTERACTIVE HEA
Szybko nauczyć AHA 17 segmentów modelu serca, istotne dla wszystkich echo studentów!
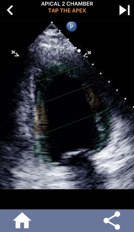
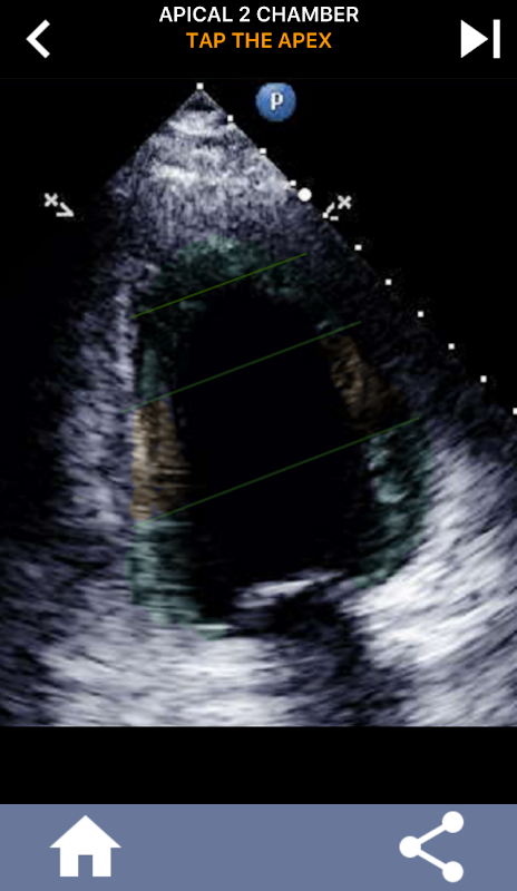
Niezbędne jest, aby echokardiografowie USG nauczyli się segmentacji serca lewej komory serca w American Heart Association na 17 segmentów, co jest standardem powszechnie stosowanym przez wiele innych metod obrazowania, takich jak obrazowanie metodą rezonansu magnetycznego, testy jądrowe serca itp., Aby opisać lokalizację dotkniętych segmentów i funkcji. Wiele razy osoba czytająca twoje echo zapyta „co widziałeś?” Oczekuje się odpowiedzi na dokładną lokalizację dotkniętego obszaru.
Ta aplikacja zawiera wszystkie widoki echa pokazujące segmentowany mięsień sercowy AHA i sprawdzi, czy dotkniesz właściwego segmentu. Osobiście uważam, że powtarzające się quizy działają najlepiej dla mnie, gdy muszę szybko nauczyć się / zapamiętać temat. Jeśli jesteś studentem USG studiującym echo / TTE, myślę, że byłoby to doskonałe uzupełnienie twoich studiów.
Spójrz na link wideo YouTube, aby zobaczyć aplikację w akcji
ZASTRZEŻENIE DOTYCZĄCE APLIKACJI
Bez porady
Ta aplikacja („Aplikacja”) zawiera tylko informacje, nie jest poradą medyczną ani leczniczą i nie może być traktowana jako taka przez użytkownika. W związku z tym nie można polegać na tej aplikacji do celów diagnostyki medycznej lub jako zalecenie do opieki medycznej lub leczenia. Informacje w tej aplikacji nie zastępują profesjonalnej porady medycznej, diagnozy lub leczenia. Cała treść, w tym tekst, grafika, obrazy i informacje zawarte w tej aplikacji lub dostępne za jej pośrednictwem, służy wyłącznie do celów informacyjnych
No Reliance
NIGDY NIE MOŻESZ NALEŻY ODNALEŹĆ SIĘ DO JAKICHKOLWIEK INFORMACJI UZYSKANYCH ZA POMOCĄ TEJ APLIKACJI DO WSZELKIEJ DIAGNOZY LUB ZALECENIA DLA LECZENIA MEDYCZNEGO. NIGDY NIE MUSISZ NALEŻY ODNOSIĆ SIĘ DO INFORMACJI OTRZYMANYCH PRZEZ TĘ APLIKACJĘ JAKO ALTERNATYWĘ DLA PORADY MEDYCZNEJ OD SWOJEGO LEKARZA LUB INNEGO PROFESJONALNEGO DOSTAWCY OPIEKI ZDROWOTNEJ.
NIGDY NIE NALEŻY WYRAŻAĆ PROFESJONALNEJ PORADY MEDYCZNEJ LUB OPÓŹNIENIA POSZUKIWANIA LECZENIA MEDYCZNEGO W WYNIKU JAKICHKOLWIEK INFORMACJI, KTÓRE ZOSTAŁEŚ ZAJĘTE LUB DOSTĘPNE PRZEZ TĘ APLIKACJĘ. JEŚLI MASZ JAKIEKOLWIEK PYTANIA DOTYCZĄCE JAKICHKOLWIEK MATERIAŁÓW MEDYCZNYCH, NALEŻY SKONTAKTOWAĆ SIĘ Z FIZYKĄ LUB INNYM PROFESJONALNYM DOSTAWCĄ OPIEKI ZDROWOTNEJ. JEŚLI MYŚLISZ, ŻE MOŻESZ BYĆ CIERPIENIEM Z JAKICHKOLWIEK WARUNKÓW MEDYCZNYCH NALEŻY POSZUKIWAĆ NATYCHMIASTOWĄ UWAGĘ MEDYCZNĄ.
bez gwarancji
Informacje dostarczane przez tę aplikację są dostarczane „tak jak są” bez żadnych oświadczeń ani gwarancji, wyraźnych lub dorozumianych. ECLECKTIC GOODIES INC nie składa żadnych oświadczeń ani gwarancji w odniesieniu do informacji medycznych lub innych informacji zawartych w tej aplikacji.
ECLECKTIC GOODIES INC nie gwarantuje, że:
- Informacje dostarczane przez tę aplikację będą stale dostępne lub w ogóle dostępne;
lub
- Informacje dostarczane przez tę aplikację są kompletne, prawdziwe, dokładne, aktualne lub nie wprowadzają w błąd.
ECLECKTIC GOODIES INC NIE PONOSI ODPOWIEDZIALNOŚCI ZA JAKIEKOLWIEK PORADY, KURSU LECZENIA, DIAGNOZY LUB INNYCH INFORMACJI, USŁUG LUB PRODUKTÓW, KTÓRYCH OTRZYMUJESZ ZA POMOCĄ NINIEJSZEJ APLIKACJI.
Pobierając aplikację za pomocą aplikacji potwierdziłeś, że:
- PRZECZYTAŁEŚ ZROZUMIENIE TEGO OŚWIADCZENIA MEDYCZNEGO.
- ZGADZASZ SIĘ Z NINIEJSZYM OŚWIADCZENIEM MEDYCZNYM.
- UŻYTKOWNIK WYRAŻA ZGODĘ NA LEGALNE PRZESTRZEGANIE OŚWIADCZENIA MEDYCZNEGO, KTÓRE POWINIEN WPŁYWAĆ NATYCHMIAST NA POBIERANIE APLIKACJI.
JEŚLI NIE ZGADZASZ SIĘ LEGALNIE PRZESTRZEGAĆ NINIEJSZEGO ZRZECZENIA MEDYCZNEGO, NIE MOŻESZ DOSTAĆ SIĘ DO APLIKACJI, ZAREJESTRUJ APLIKACJI POD NAZWĄ, LUB UŻYWAJ APLIKACJI.
What's new in the latest 8.0.0
Informacje AHA 17 SEGMENT INTERACTIVE HEA APK
Stare wersje AHA 17 SEGMENT INTERACTIVE HEA
AHA 17 SEGMENT INTERACTIVE HEA 8.0.0
AHA 17 SEGMENT INTERACTIVE HEA 6.0.0
Superszybkie i bezpieczne pobieranie za pośrednictwem aplikacji APKPure
Jedno kliknięcie, aby zainstalować pliki XAPK/APK na Androidzie!






