AHA 17 SEGMENT INTERACTIVE HEA
20.4 MB
Dosya Boyutu
Everyone
Android 5.0+
Android OS
AHA 17 SEGMENT INTERACTIVE HEA hakkında
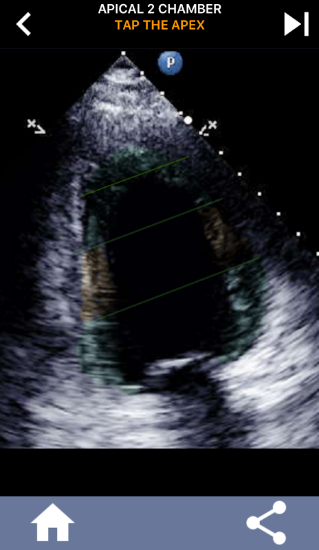
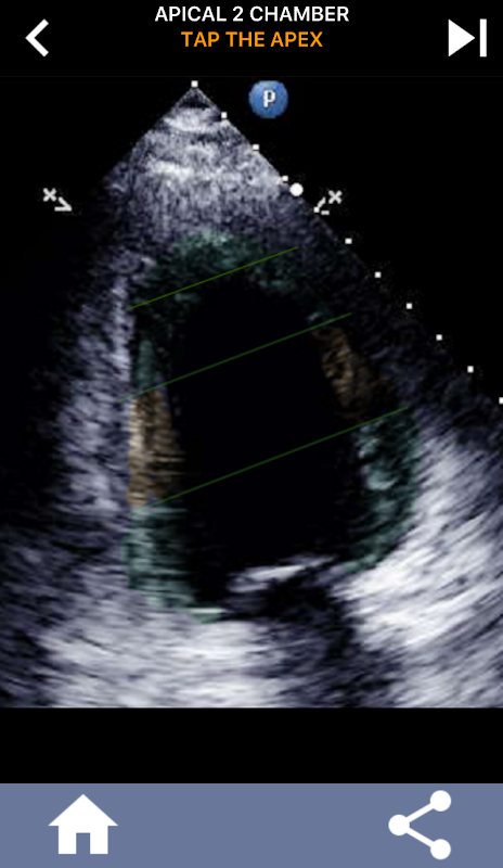
Hızla AHA 17 bölüm kalp modelini öğrenmek, TÜM öğrencileri yankı için gerekli!
Ultrason ekokardiyografilerinin Amerikan Kalp Birliği'nin sol ventrikülün kardiyak segmentasyonunu öğrenmesi, manyetik rezonans görüntüleme, kardiyak nükleer testler, vb. Gibi diğer birçok görüntüleme yöntemi tarafından yaygın olarak kullanılan yeri tanımlamak için 17 segmentte öğrenmesi gerekir. Etkilenen bölümler ve işlev Çoğu zaman yankıyı okuyan kişi "ne gördün?" Diye sorar. ve etkilenen alanın tam bir yeri ile cevaplanması beklenen şeydir.
Bu uygulama AHA bölümlenmiş miyokard gösteren tüm yankı görünümlerini içerir ve doğru bölüme dokunun sizi test edecek. Şahsen, konuyu hızlıca öğrenmem / ezberlemem gerektiğinde, tekrarlayan sınavların benim için en iyisi olduğunu düşünüyorum. Echo / TTE okuyan bir ultrason öğrencisiyseniz, bunun çalışmalarınız için mükemmel bir tamamlayıcı olacağını düşünüyorum.
Uygulamayı çalışırken görmek için youtube video bağlantısına göz atın
APP YASAL UYARI
Tavsiye yok
Bu uygulama (“Uygulama” ”yalnızca bilgi sağlar, tıbbi ya da tedavi önerisi değildir ve kullanıcı tarafından bu şekilde ele alınmayabilir. Bu nedenle, bu App tıbbi teşhis amaçları için veya tıbbi bakım veya tedavi için bir öneri olarak kullanılamaz. Bu App bilgi profesyonel tıbbi tavsiye, tanı veya tedavi için bir alternatifi değildir. Bu Uygulamada yer alan veya bu metin aracılığıyla sağlanan metin, grafik, resim ve bilgiler dahil olmak üzere tüm içerik yalnızca genel bilgi amaçlı
Güven yok
TIBBİ TEDAVİ İÇİN HERHANGİ BİR TEŞHİS VEYA ÖNERİ İÇİN BU UYGULAMAYI KULLANMAK ÜZERİNE HİÇBİR BİLGİ VERMEYİN. BU UYGULAMANIN ALANLARDAN BİLGİLERİNE DOĞRUDAN OLMAMALIDIR. FİZİKSİZİNDEN veya DİĞER MESLEKİ SAĞLIK SAĞLAYICISINDAN TIBBİ TAVSİYE ALTERNATİF.
PROFESYONEL TIBBİ TAVSİYE VEYA BU UYGULAMADA YAPILAN VEYA ERİŞTİRİLDİĞİNİZ HERHANGİ BİR BİLGİ SONUÇINDAKİ TIBBİ TEDAVİ GÖNDERMEYİN. TIBBİ TEDAVİ HAKKINDA ÖZEL SORULARINIZ VARSA, FİZİKSİYONUZA VEYA DİĞER PROFESYONEL SAĞLIK SAĞLAYICISINIZA BAŞVURMALIDIR. SİZİN TEŞEKKÜR EDERİZ TIBBİ DURUMDAN ZORUNLU OLABİLİRSİNİZ, TIBBİ DURUMA GÖREVLENDİRMEMELİDİR.
garanti yok
Bu Uygulama tarafından sağlanan bilgiler, açık veya zımni hiçbir beyan veya garanti olmaksızın “olduğu gibi” sağlanmıştır. ECLECKTIC GOODIES INC, bu Uygulamadaki tıbbi veya diğer bilgilerle ilgili hiçbir beyanda bulunmaz veya garanti vermez.
ECLECKTIC GOODIES INC şunları garanti etmez:
- Bu uygulama tarafından sağlanan bilgiler sürekli mevcut olacak veya hiç mevcut olacak;
veya
- Bu uygulama tarafından sağlanan bilgiler eksiksiz, doğru, doğru, güncel veya yanıltıcı değildir.
ECLECKTIC GOODIES INC, BU UYGULAMANIN KULLANIMINDAN ALINACAK HİÇBİR TAVSİYE, TEDAVİ, TEŞHİS VEYA DİĞER BİLGİLER, SERVİSLER VE ÜRÜNLER İÇİN SORUMLU VEYA SORUMLU DEĞİLDİR.
Uygulamayı kullanarak uygulamayı indirerek şunları kabul etmiş sayılırsınız:
- BU TIBBİ YASAL UYARIYI ANLATMAYINIZ.
- BU TIBBİ YASAL UYARI İLE KABUL EDİYORSUNUZ.
- BU TIBBİ SORUMLULUKÇANIN YASALTAN KABUL EDİLMESİNE SAHİP, UYGULAMAYI UYGULAMADA HEMEN ETKİLENDİRİR.
BU TIBBİ SORUMLULUKÇANIN YASALTAN KABUL EDİLMESİNE SAHİP OLMADIĞINIZ, UYGULAMAYA ERİŞEMEBİLİRSİNİZ, SİZİN ADI ÜZERİNE UYGULANABİLİRSİNİZ, VEYA UYGULAMAYIZ
What's new in the latest 8.0.0
AHA 17 SEGMENT INTERACTIVE HEA APK Bilgileri
AHA 17 SEGMENT INTERACTIVE HEA'in eski sürümleri
AHA 17 SEGMENT INTERACTIVE HEA 8.0.0
AHA 17 SEGMENT INTERACTIVE HEA 6.0.0
APK Uygulaması ile Süper Hızlı ve Güvenli İndirme
XAPK/APK dosyalarını Android'e yüklemek için tek tıkla!






