關於AHA 17 SEGMENT INTERACTIVE HEA
快速學習AHA 17段心臟模型,對於所有的學生呼應必不可少的!
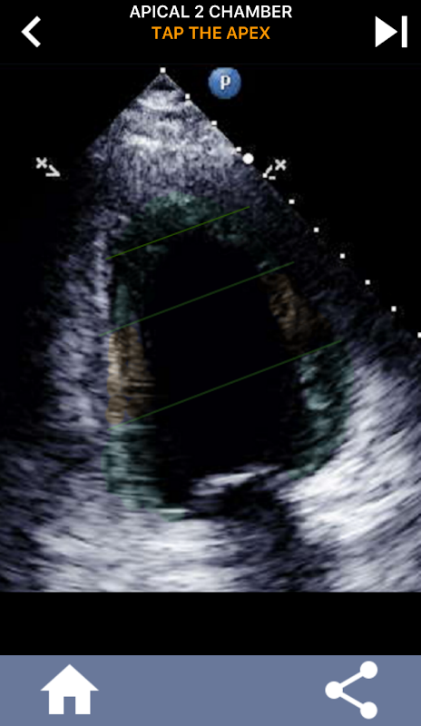
超聲心動圖學家必須將美國心臟協會的左心室心臟分割學成17個節段,這是許多其他成像方式廣泛使用的標準,如磁共振成像,心臟核試驗等......來描述位置受影響的部分和功能。閱讀你的迴聲的人多次會問“你看到了什麼?”並回复受影響區域的確切位置是預期的。
這個應用程序包含顯示AHA分段心肌的所有迴聲視圖,並將測驗您點擊正確的段。我個人發現,當我需要快速學習/記憶主題時,重複性測驗最適合我。如果您是一名研究echo / TTE的超聲學生,我認為這將是您學習的絕佳補充。
看一下youtube視頻鏈接,查看應用程序的運行情況
APP免責聲明
沒有建議
此應用程序(“應用程序”)僅提供信息,不是醫療或治療建議,用戶可能不會這樣做。因此,可能不會依賴此應用程序用於醫療診斷或作為醫療護理或治療的建議。此應用程序的信息不能替代專業醫療建議,診斷或治療。本應用程序中包含或通過本應用程序提供的所有內容(包括文本,圖形,圖像和信息)僅供一般參考
沒有信賴
您絕不能依賴使用此應用程序獲取的任何信息,以進行任何診斷或建議進行醫療。您絕不能依賴本應用程序收到的信息作為您的醫生或其他專業醫療保健提供者的醫療建議的替代方案。
由於您通過本應用程序查看或訪問過的任何信息,您絕不能放棄專業醫療建議或延遲尋求醫療處理。如果您對任何醫療問題有任何具體問題,您應該諮詢您的醫生或其他專業醫療保健提供者。如果您認為您可能會遇到任何醫療條件,您應該立即尋求醫療注意。
沒有保修
本應用程序提供的信息“按原樣”提供,不作任何明示或暗示的陳述或保證。 ECLECKTIC GOODIES INC對本應用程序中的醫療或其他信息不作任何陳述或保證。
ECLECKTIC GOODIES INC不保證:
- 本應用程序提供的信息將持續可用,或者根本不可用;
要么
- 本應用程序提供的信息完整,真實,準確,最新或無誤導性。
ECLECKTIC GOODIES INC對您通過本應用程序使用的任何建議,治療,診斷或任何其他信息,服務或產品不承擔任何責任或義務。
通過使用appyou下載app已經承認:
- 您已經閱讀了解此醫療免責聲明。
- 您同意此醫療免責聲明。
- 您同意接受本醫療免責聲明的法律約束,這將立即對下載應用程序產生影響。
如果您不同意受此醫療免責聲明的法律約束,您可能無法訪問該應用程序,根據您的名稱註冊該應用程序,或使用該應用程序。






