AHA 17 SEGMENT INTERACTIVE HEA
20.4 MB
Tamanho do arquivo
Everyone
Android 5.0+
Android OS
Sobre este AHA 17 SEGMENT INTERACTIVE HEA
aprender rapidamente o modelo de coração 17 segmento AHA, essencial para todos os eco estudantes!
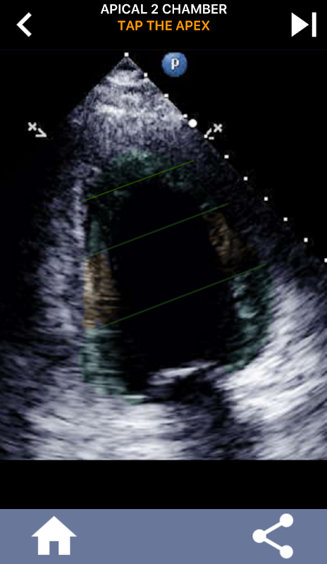
É essencial que os ecocardiografistas de ultra-som aprendam a segmentação cardíaca do American Heart Association em 17 segmentos, que é o padrão amplamente utilizado por muitas outras modalidades de imagem, como ressonância magnética, testes nucleares cardíacos, etc ... para descrever a localização. de segmentos afetados e função. Muitas vezes a pessoa que lê seu eco perguntará "o que você viu?" e responder com uma localização exata da área afetada é o que é esperado.
Este aplicativo contém todas as exibições de eco que mostram o miocárdio segmentado pela AHA e fará com que você toque no segmento correto. Eu pessoalmente acho que o interrogatório repetitivo funciona melhor para mim quando eu preciso aprender rapidamente / memorizar assunto. Se você é um estudante de ultra-som estudando echo / TTE, acho que isso seria um excelente complemento para seus estudos.
Dê uma olhada no link do vídeo do youtube para ver o aplicativo em ação
ISENÇÃO DE RESPONSABILIDADE
Nenhum conselho
Este aplicativo ("App)" fornece apenas informações, não é um conselho médico ou de tratamento e não pode ser tratado como tal pelo usuário. Como tal, este App não pode ser invocado para fins de diagnóstico médico ou como uma recomendação para atendimento médico ou tratamento. As informações sobre este App não é um substituto para aconselhamento médico profissional, diagnóstico ou tratamento. Todo o conteúdo, incluindo texto, gráficos, imagens e informações, contidos ou disponíveis através deste aplicativo é apenas para fins de informação geral
Sem confiança
Você nunca deve confiar em qualquer informação obtida usando este aplicativo para qualquer diagnóstico ou recomendação para tratamento médico. VOCÊ NUNCA DEVE CONFIAR NAS INFORMAÇÕES RECEBIDAS DESTE APLICATIVO COMO ALTERNATIVO AO CONSELHO MÉDICO DE SEU MÉDICO OU OUTRO PROFISSIONAL DE SAÚDE.
Você nunca deve dispensar aconselhamento médico profissional ou demora procurando tratamento médico como resultado de qualquer informação que você tenha visto ou acessado através deste aplicativo. SE VOCÊ TIVER ALGUMAS QUESTÕES ESPECÍFICAS SOBRE QUALQUER ASSUNTO MÉDICO, VOCÊ DEVE CONSULTAR SEU MÉDICO OU OUTRO PROFISSIONAL DE SAÚDE. Se você acha que pode estar sofrendo de qualquer condição médica, você deve procurar atenção médica imediata.
Sem garantia
As informações fornecidas por este aplicativo são fornecidas "como estão", sem quaisquer representações ou garantias, expressas ou implícitas. ECLECKTIC GOODIES INC não faz representações ou garantias em relação às informações médicas ou outras informações contidas neste aplicativo.
A ECLECKTIC GOODIES INC não garante que:
- As informações fornecidas por este aplicativo estarão constantemente disponíveis ou disponíveis a todos;
ou
- As informações fornecidas por este aplicativo são completas, verdadeiras, precisas, atualizadas ou não enganosas.
A ECLECKTIC GOODIES INC NÃO SE RESPONSABILIZA POR QUALQUER RECOMENDAÇÃO, CURSO DE TRATAMENTO, DIAGNÓSTICO OU QUALQUER OUTRA INFORMAÇÃO, SERVIÇO OU PRODUTOS OBTIDOS ATRAVÉS DO USO DESTE APLICATIVO.
Ao baixar o aplicativo usando o appyou ter reconhecido que:
- VOCÊ LEU O ENTENDER ESTA ISENÇÃO MÉDICA.
- VOCÊ CONCORDA COM ESTA ISENÇÃO MÉDICA.
- VOCÊ CONCORDA EM ESTAR LEGALMENTE INCORPORADO POR ESTA ISENÇÃO MÉDICA, QUE TERÁ EFEITO IMEDIATAMENTE AO BAIXAR O APLICATIVO.
SE VOCÊ NÃO CONCORDAR EM SER LEGALMENTE INCORPORADO POR ESSA ISENÇÃO MÉDICA, VOCÊ NÃO PODE ACESSAR O APLICATIVO, REGISTRAR O APLICATIVO SOB O SEU NOME OU USAR O APLICATIVO.
Novidades em 8.0.0 mais recente
Informações sobre AHA 17 SEGMENT INTERACTIVE HEA APK
Versões Antigas de AHA 17 SEGMENT INTERACTIVE HEA
AHA 17 SEGMENT INTERACTIVE HEA 8.0.0
AHA 17 SEGMENT INTERACTIVE HEA 6.0.0
Baixar de Forma Rápida e Segura via APKPure App
Um clique para instalar arquivos XAPK/APK no Android!






