دربارهی AHA 17 SEGMENT INTERACTIVE HEA
Quickly learn the AHA 17 segment heart model, essential for ALL echo students!
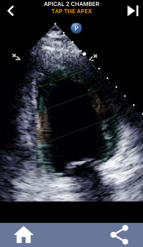
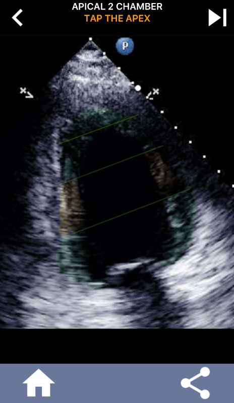
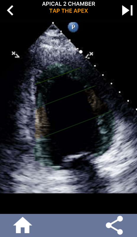
It is essential for ultrasound echocardiographers to learn the American Heart Association cardiac segmentation of the left ventricle into 17 segments which is the standard widely used by many other imaging modalities such as magnetic resonance imaging,cardiac nuclear tests, etc... to describe the location of affected segments and function. Many times the person reading your echo will ask " what did you see?" and replying with an exact location of the affected area is what is expected.
This app contains all the echo views showing the AHA segmented myocardium and will quiz you to tap the correct segment. I personally find that repetitive quizzing works best for me when I need to quickly learn/memorize subject. If you are an ultrasound student studying echo/TTE I think this would be an excellent complement to your studies.
Take a look at the youtube video link to see the app in action
APP DISCLAIMER
No advice
This app (“App)” provides only information, is not medical or treatment advice and may not be treated as such by the user. As such, this App may not be relied upon for the purposes of medical diagnosis or as a recommendation for medical care or treatment. The information on this App is not a substitute for professional medical advice, diagnosis or treatment. All content, including text, graphics, images and information, contained on or available through this App is for general information purposes only
No Reliance
YOU MUST NEVER RELY ON ANY INFORMATION OBTAINED USING THIS APP FOR ANY DIAGNOSIS OR RECOMMENDATION FOR MEDICAL TREATMENT. YOU MUST NEVER RELY ON THE INFORMATION RECEIVED FROM THIS APP AS ALTERNATIVE TO MEDICAL ADVICE FROM YOUR PHYSICIAN OR OTHER PROFESSIONAL HEALTHCARE PROVIDER.
YOU MUST NEVER DISREGARD PROFESSIONAL MEDICAL ADVICE OR DELAY SEEKING MEDICAL TREATMENT AS RESULT OF ANY INFORMATION YOU HAVE SEEN ON OR ACCESSED THROUGH THIS APP. IF YOU HAVE ANY SPECIFIC QUESTIONS ABOUT ANY MEDICAL MATTER YOU SHOULD CONSULT YOUR PHYSICIAN OR OTHER PROFESSIONAL HEALTHCARE PROVIDER. IF YOU THINK YOU MAY BE SUFFERING FROM ANY MEDICAL CONDITION YOU SHOULD SEEK IMMEDIATE MEDICAL ATTENTION.
No Warranty
The information provided by this App is provided “as is” without any representations or warranties, express or implied. ECLECKTIC GOODIES INC makes no representations or warranties in relation to the medical or other information in this App.
ECLECKTIC GOODIES INC does not warrant that:
- The information provided by this App will be constantly available, or available at all;
or
- The information provided by this App is complete, true, accurate, up-to-date, or non-misleading.
ECLECKTIC GOODIES INC IS NOT RESPONSIBLE OR LIABLE FOR ANY ADVICE, COURSE OF TREATMENT, DIAGNOSIS OR ANY OTHER INFORMATION, SERVICES OR PRODUCTS THAT YOU OBTAIN THROUGH THE USE OF THIS APP.
By downloading app using the appyou have acknowledged that:
- YOU HAVE READ THE UNDERSTAND THIS MEDICAL DISCLAIMER.
- YOU AGREE WITH THIS MEDICAL DISCLAIMER.
- YOU AGREE TO BE LEGALLY BOUND BY THIS MEDICAL DISCLAIMER, WHICH SHALL TAKE EFFECT IMMEDIATELY UPON DOWNLOADING THE APP.
IF YOU DO NOT AGREE TO BE LEGALLY BOUND BY THIS MEDICAL DISCLAIMER, YOU MAY NOT ACCESS THE APP, REGISTER THE APP UNDER YOUR NAME, OR USE THE APP.
جدیدترین 8.0.0 چه خبر است
اطلاعات AHA 17 SEGMENT INTERACTIVE HEA APK
نسخههای قدیمی AHA 17 SEGMENT INTERACTIVE HEA
AHA 17 SEGMENT INTERACTIVE HEA 8.0.0
AHA 17 SEGMENT INTERACTIVE HEA 6.0.0

دانلود فوق سریع و ایمن از طریق برنامه APKPure
برای نصب فایل های XAPK/APK در اندروید با یک کلیک!
























