AHA 17 SEGMENT INTERACTIVE HEA
20.4 MB
Ukuran file
Everyone
Android 5.0+
Android OS
Tentang AHA 17 SEGMENT INTERACTIVE HEA
Cepat belajar AHA 17 segmen Model jantung, penting untuk SEMUA gema siswa!
Sangat penting bagi para ahli ultrasound untuk mempelajari segmentasi jantung American Heart Association dari ventrikel kiri menjadi 17 segmen yang merupakan standar yang banyak digunakan oleh banyak modalitas pencitraan lainnya seperti pencitraan resonansi magnetik, tes nuklir jantung, dll ... untuk menggambarkan lokasi segmen dan fungsi yang terpengaruh. Sering kali orang yang membaca gema Anda akan bertanya "apa yang Anda lihat?" dan membalas dengan lokasi yang tepat dari daerah yang terkena dampak adalah apa yang diharapkan.
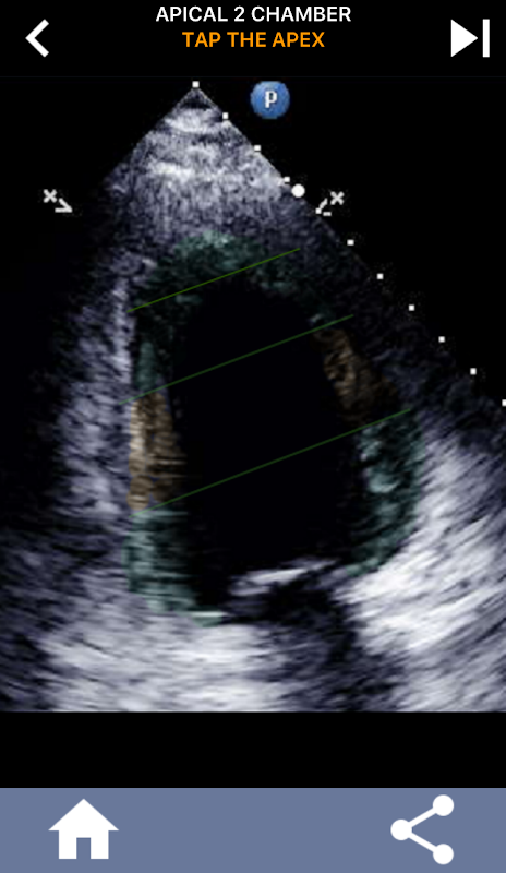
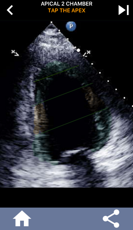
Aplikasi ini berisi semua tampilan gema yang menunjukkan miokardium tersegmentasi AHA dan akan menanyai Anda untuk mengetuk segmen yang benar. Secara pribadi saya menemukan bahwa kuis berulang berulang paling baik untuk saya ketika saya perlu cepat belajar / menghafal subjek. Jika Anda seorang siswa ultrasound yang mempelajari echo / TTE saya pikir ini akan menjadi pelengkap yang sangat baik untuk studi Anda.
Lihatlah tautan video youtube untuk melihat aplikasi beraksi
PENAFIAN APLIKASI
Tidak ada saran
Aplikasi ini ("Aplikasi)" hanya memberikan informasi, bukan saran medis atau perawatan dan mungkin tidak diperlakukan seperti itu oleh pengguna. Dengan demikian, Aplikasi ini tidak dapat diandalkan untuk keperluan diagnosis medis atau sebagai rekomendasi untuk perawatan atau perawatan medis. Informasi pada Aplikasi ini bukan merupakan pengganti saran, diagnosis, atau perawatan medis profesional. Semua konten, termasuk teks, grafik, gambar dan informasi, yang terdapat pada atau tersedia melalui Aplikasi ini hanya untuk tujuan informasi umum
Tidak ada ketergantungan
ANDA HARUS PERNAH MENGANDALKAN INFORMASI APA PUN YANG DIDAPAT MENGGUNAKAN APLIKASI INI UNTUK DIAGNOSIS ATAU REKOMENDASI UNTUK PENGOBATAN MEDIS. ANDA TIDAK PERNAH HARUS MENGANDAL INFORMASI YANG DITERIMA DARI APLIKASI INI SEBAGAI ALTERNATIF TERHADAP SARAN MEDIS DARI FISIKA ANDA ATAU PENYEDIA KESEHATAN PROFESIONAL LAINNYA.
ANDA TIDAK PERNAH AKAN MENGHANCURKAN SARAN MEDIS PROFESIONAL ATAU MENUNJUKAN PENGOBATAN MEDIS SEBAGAI HASIL INFORMASI YANG ANDA TELAH MELIHAT ATAU MENGAKSES MELALUI APLIKASI INI. JIKA ANDA MEMILIKI PERTANYAAN KHUSUS TENTANG MASALAH MEDIS APA PUN YANG HARUS ANDA KONSULTASIKAN DENGAN FISIKA, ATAU PENYEDIA KESEHATAN PROFESIONAL LAINNYA. JIKA ANDA BERPIKIR, ANDA MUNGKIN MENYEDIAKAN DARI KONDISI MEDIS APA PUN YANG HARUS ANDA MENDAPATKAN PERHATIAN SEGERA.
Tidak ada garansi
Informasi yang disediakan oleh Aplikasi ini diberikan "sebagaimana adanya" tanpa pernyataan atau jaminan, tersurat maupun tersirat. GOODIES ECLECKTIC INC tidak membuat pernyataan atau jaminan sehubungan dengan informasi medis atau lainnya di App ini.
ECLECKTIC GOODIES INC tidak menjamin bahwa:
- Informasi yang disediakan oleh Aplikasi ini akan selalu tersedia, atau tersedia sama sekali;
atau
- Informasi yang disediakan oleh Aplikasi ini lengkap, benar, akurat, mutakhir, atau tidak menyesatkan.
GOODIES ECLECKTIC INC TIDAK BERTANGGUNG JAWAB ATAU BERTANGGUNG JAWAB ATAS NASIHAT, KURSUS PENGOBATAN, DIAGNOSA ATAU INFORMASI LAINNYA, LAYANAN ATAU PRODUK LAIN YANG ANDA MENDAPATKAN MELALUI PENGGUNAAN APLIKASI INI.
Dengan mengunduh aplikasi menggunakan aplikasi, Anda telah mengakui bahwa:
- ANDA BACA MEMAHAMI PENAFIAN MEDIS INI.
- ANDA SETUJU DENGAN PERNYATAAN MEDIS INI.
- ANDA SETUJU UNTUK DILAKUKAN SECARA HUKUM OLEH DISCLAIMER MEDIS INI, YANG AKAN MENGAMBIL EFEK SEGERA DINGIN MENGUNDUH APLIKASI.
JIKA ANDA TIDAK SETUJU UNTUK DILAKUKAN SECARA HUKUM OLEH DISCLAIMER MEDIS INI, ANDA DAPAT TIDAK MENGAKSES APLIKASI, MENDAFTARKAN APLIKASI DI BAWAH NAMA ANDA, ATAU GUNAKAN APLIKASI.
What's new in the latest 8.0.0
Informasi APK AHA 17 SEGMENT INTERACTIVE HEA
Versi lama AHA 17 SEGMENT INTERACTIVE HEA
AHA 17 SEGMENT INTERACTIVE HEA 8.0.0
AHA 17 SEGMENT INTERACTIVE HEA 6.0.0
Pengunduhan Super cepat dan aman melalui aplikasi APKPure
Sekali klik untuk menginstal file XAPK/APK di Android!






