Über ECHO HEART WALL SEGMENTS QUIZ
Quizbasierter visueller Ansatz zum Erlernen der AHA-Herzsegmente: Echokardiographie
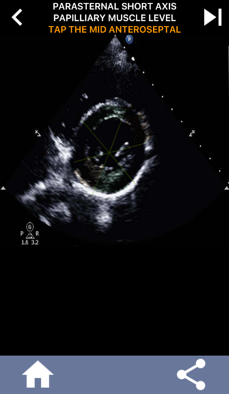
Das Verständnis der Herzsegmente der AHA (American Heart Association) ist für einen Herzsonographen von größter Bedeutung, um effektiv mit dem Kardiologen kommunizieren zu können, der den Bericht verfasst. Durch die Kenntnis der spezifischen anatomischen Regionen und ihrer entsprechenden Segmente kann der Sonograph alle Anomalien oder Befunde genau beschreiben und kommunizieren und so eine klare und prägnante Kommunikation zwischen beiden Fachleuten gewährleisten.
Dieses Verständnis ist besonders wichtig, wenn der Kardiologe den genauen Ort eines Problems ermitteln möchte oder wenn der Bereitschaftsarzt ein Problem in einer bestimmten Region identifiziert und den Sonographen dazu veranlasst, das entsprechende Segment, beispielsweise die mittlere und untere Wand, genau anzuzeigen. Ein umfassendes Verständnis der AHA-Herzsegmente ist daher eine wesentliche Fähigkeit.
Diese App testet Ihr Wissen anhand echter Echobilder, was meiner Meinung nach oft die beste Lehrmethode ist.
What's new in the latest 2.0.0
ECHO HEART WALL SEGMENTS QUIZ APK -Informationen
Alte Versionen von ECHO HEART WALL SEGMENTS QUIZ
ECHO HEART WALL SEGMENTS QUIZ 2.0.0
Superschnelles und sicheres Herunterladen über die APKPure-App
Ein Klick zur Installation von XAPK/APK-Dateien auf Android!






