Oписание ECHO HEART WALL SEGMENTS QUIZ
Визуальный подход к изучению сегментов сердца AHA на основе викторины: эхокардиография
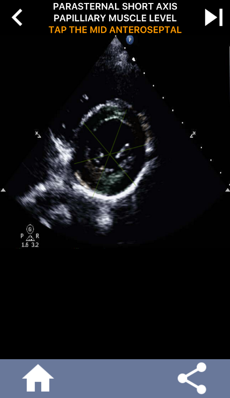
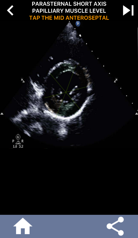
Понимание сегментов сердца AHA (Американской кардиологической ассоциации) имеет первостепенное значение для кардиологического УЗИ, чтобы эффективно общаться с кардиологом, который пишет отчет. Зная конкретные анатомические области и соответствующие им сегменты, сонографист может точно описать и сообщить о любых аномалиях или результатах, обеспечивая четкое и краткое общение между обоими специалистами.
Это понимание становится особенно важным, когда кардиолог стремится установить точное местоположение проблемы или когда дежурный врач выявляет проблему в определенной области, побуждая сонографа точно отображать соответствующий сегмент, например, среднюю нижнюю стенку. Таким образом, всестороннее понимание сегментов сердца AHA является важным набором навыков.
Это приложение проверит ваши знания, используя реальные эхо-изображения, которые я часто считаю лучшим методом обучения.
Что нового в последней версии 2.0.0
Информация ECHO HEART WALL SEGMENTS QUIZ APK
Старые Версии ECHO HEART WALL SEGMENTS QUIZ
ECHO HEART WALL SEGMENTS QUIZ 2.0.0
Супер Быстрая и Безопасная Загрузка через Приложение APKPure
Один клик для установки XAPK/APK файлов на Android!






