ECHO HEART WALL SEGMENTS QUIZ
19.3 MB
Dung lượng tệp
Everyone
Android 5.0+
Android OS
Giới thiệu về ECHO HEART WALL SEGMENTS QUIZ
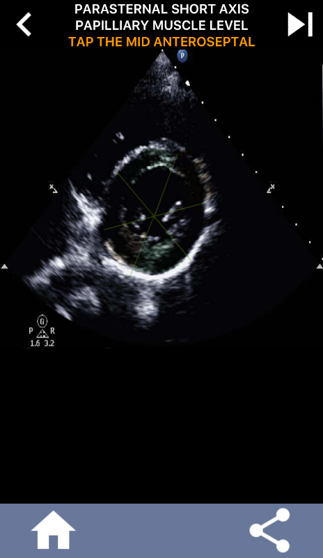
Phương pháp trực quan dựa trên câu hỏi để tìm hiểu các phân đoạn tim AHA: Siêu âm tim
Việc hiểu các phân đoạn tim của AHA (Hiệp hội Tim mạch Hoa Kỳ) là vô cùng quan trọng đối với kỹ thuật viên siêu âm tim để giao tiếp hiệu quả với bác sĩ tim mạch viết báo cáo. Bằng cách biết các vùng giải phẫu cụ thể và các phân đoạn tương ứng của chúng, kỹ thuật viên siêu âm có thể mô tả và truyền đạt chính xác bất kỳ sự bất thường hoặc phát hiện nào, đảm bảo giao tiếp rõ ràng và ngắn gọn giữa cả hai chuyên gia.
Sự hiểu biết này trở nên đặc biệt quan trọng khi bác sĩ tim mạch tìm cách xác định vị trí chính xác của vấn đề hoặc khi bác sĩ trực xác định vấn đề trong một khu vực cụ thể, khiến kỹ thuật viên siêu âm hiển thị chính xác phân đoạn tương ứng, chẳng hạn như thành giữa phía dưới. Do đó, nắm bắt toàn diện các phân đoạn tim AHA là bộ kỹ năng cần thiết.
Ứng dụng này sẽ kiểm tra kiến thức của bạn bằng cách sử dụng hình ảnh tiếng vang thực tế, mà tôi thường thấy là phương pháp giảng dạy tốt nhất.
What's new in the latest 2.0.0
Thông tin APK ECHO HEART WALL SEGMENTS QUIZ
Phiên bản cũ của ECHO HEART WALL SEGMENTS QUIZ
ECHO HEART WALL SEGMENTS QUIZ 2.0.0
Tải xuống siêu nhanh và an toàn thông qua Ứng dụng APKPure
Một cú nhấp chuột để cài đặt các tệp XAPK/APK trên Android!






