ECHO HEART WALL SEGMENTS QUIZ 정보
AHA 심장 세그먼트 학습을 위한 퀴즈 기반의 시각적 접근 방식: 심초음파
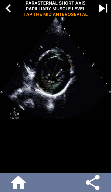
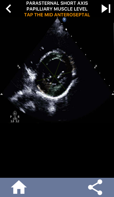
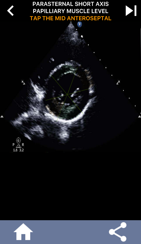
AHA(미국 심장 협회) 심장 세그먼트를 이해하는 것은 심장 초음파 기사가 보고서를 작성하는 심장 전문의와 효과적으로 의사 소통하는 데 가장 중요합니다. 특정 해부학적 부위와 해당 부분을 알면 소노그래퍼는 모든 이상 또는 발견 사항을 정확하게 설명하고 전달할 수 있으므로 두 전문가 간의 명확하고 간결한 커뮤니케이션이 보장됩니다.
이러한 이해는 심장 전문의가 문제의 정확한 위치를 확인하려고 하거나 당직 의사가 특정 영역 내에서 문제를 식별하여 소노그래퍼가 중하벽과 같은 해당 부분을 정확하게 표시하도록 유도할 때 특히 중요합니다. 따라서 AHA 심장 부분을 포괄적으로 파악하는 것이 필수 기술입니다.
이 앱은 실제 에코 이미지를 사용하여 여러분의 지식을 테스트할 것입니다. 저는 종종 이것이 최고의 교육 방법이라고 생각합니다.
What's new in the latest 2.0.0
Last updated on Sep 15, 2023
Minor bug fixes and improvements. Install or update to the newest version to check it out!
ECHO HEART WALL SEGMENTS QUIZ apk 정보
APKPure에서 안전하고 빠른 APK 다운로드
APKPure는 바이러스 없는 ECHO HEART WALL SEGMENTS QUIZ APK 다운로드를 위해 서명 확인을 사용합니다.
ECHO HEART WALL SEGMENTS QUIZ의 오래된 버전
ECHO HEART WALL SEGMENTS QUIZ 2.0.0
19.3 MBSep 15, 2023






