About ECHO HEART WALL SEGMENTS QUIZ
AHA دل کے حصوں کو سیکھنے کے لئے کوئز پر مبنی بصری نقطہ نظر: ایکو کارڈیوگرافی۔
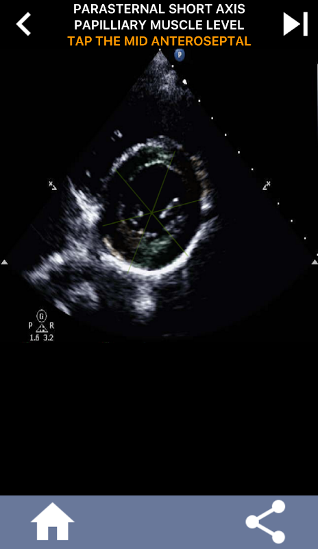
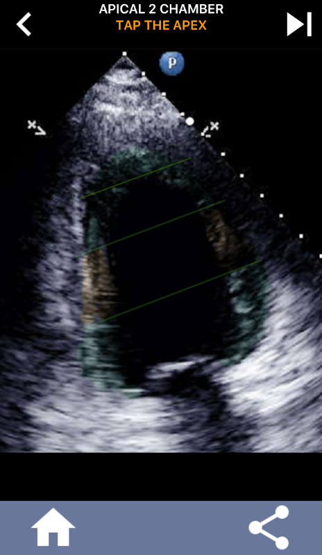
AHA (امریکن ہارٹ ایسوسی ایشن) کے دل کے حصوں کو سمجھنا کارڈیک سونوگرافر کے لیے انتہائی اہمیت کا حامل ہے تاکہ وہ رپورٹ لکھنے والے ماہر امراض قلب کے ساتھ مؤثر طریقے سے بات چیت کر سکے۔ مخصوص جسمانی خطوں اور ان کے متعلقہ حصوں کو جان کر، سونوگرافر کسی بھی غیر معمولی باتوں یا نتائج کو درست طریقے سے بیان اور بات چیت کرسکتا ہے، دونوں پیشہ ور افراد کے درمیان واضح اور جامع مواصلت کو یقینی بناتا ہے۔
یہ تفہیم خاص طور پر اس وقت اہم ہو جاتی ہے جب ماہر امراض قلب کسی مسئلے کے صحیح محل وقوع کا پتہ لگانے کی کوشش کرتا ہے یا جب کال پر ڈاکٹر کسی مخصوص علاقے میں کسی مسئلے کی نشاندہی کرتا ہے، سونوگرافر کو متعلقہ طبقہ کو درست طریقے سے ظاہر کرنے کا اشارہ کرتا ہے، جیسے کہ درمیانی کمتر دیوار۔ اس طرح، AHA دل کے حصوں کی ایک جامع گرفت کا حامل ہونا ضروری مہارت کا مجموعہ ہے۔
یہ ایپ اصل ایکو امیجز کا استعمال کرتے ہوئے آپ کے علم کی جانچ کرے گی، جو مجھے اکثر پڑھانے کا بہترین طریقہ معلوم ہوتا ہے۔
What's new in the latest 2.0.0
ECHO HEART WALL SEGMENTS QUIZ APK معلومات
کے پرانے ورژن ECHO HEART WALL SEGMENTS QUIZ
ECHO HEART WALL SEGMENTS QUIZ 2.0.0
APKPure ایپکےذریعےانتہائی تیزاورمحفوظڈاؤنلوڈنگ
Android پر XAPK/APK فائلیںانسٹالکرنےکےلیےایککلککریں!






