ECHO HEART WALL SEGMENTS QUIZ
19.3 MB
Dosya Boyutu
Everyone
Android 5.0+
Android OS
ECHO HEART WALL SEGMENTS QUIZ hakkında
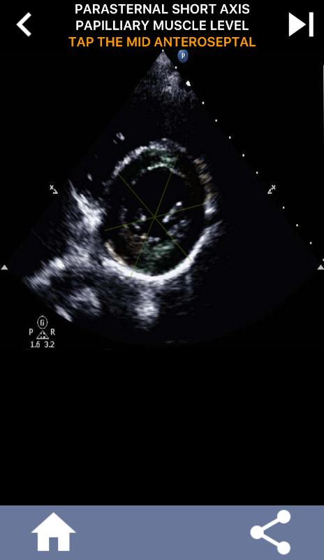
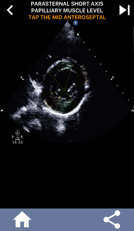
AHA kalp segmentlerini öğrenmek için sınava dayalı görsel yaklaşım: Ekokardiyografi
AHA (Amerikan Kalp Derneği) kalp segmentlerini anlamak, bir kardiyak sonografi uzmanının raporu yazan kardiyologla etkili bir şekilde iletişim kurabilmesi için son derece önemlidir. Sonografi uzmanı, belirli anatomik bölgeleri ve bunlara karşılık gelen segmentleri bilerek, her türlü anormalliği veya bulguyu doğru bir şekilde tanımlayabilir ve iletebilir, böylece her iki profesyonel arasında net ve özlü iletişim sağlar.
Bu anlayış, kardiyolog bir sorunun kesin yerini belirlemeye çalıştığında veya nöbetçi doktor belirli bir bölgede bir sorunu tanımladığında ve sonografi uzmanının orta alt duvar gibi karşılık gelen segmenti doğru bir şekilde görüntülemesini istediğinde özellikle önemli hale gelir. Bu nedenle, AHA kalp segmentlerini kapsamlı bir şekilde kavramak temel beceri setidir.
Bu uygulama, genellikle en iyi öğretim yöntemi olarak bulduğum gerçek yankı görüntülerini kullanarak bilginizi test edecek.
What's new in the latest 2.0.0
ECHO HEART WALL SEGMENTS QUIZ APK Bilgileri
ECHO HEART WALL SEGMENTS QUIZ'in eski sürümleri
ECHO HEART WALL SEGMENTS QUIZ 2.0.0
APK Uygulaması ile Süper Hızlı ve Güvenli İndirme
XAPK/APK dosyalarını Android'e yüklemek için tek tıkla!






