เกี่ยวกับ ECHO HEART WALL SEGMENTS QUIZ
วิธีการใช้ภาพแบบทดสอบเพื่อเรียนรู้ส่วนหัวใจ AHA: Echocardiography
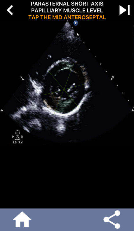
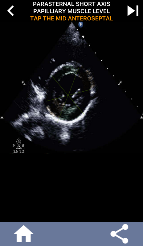
การทำความเข้าใจเกี่ยวกับส่วนของหัวใจ AHA (American Heart Association) มีความสำคัญสูงสุดสำหรับนักตรวจคลื่นเสียงหัวใจในการสื่อสารกับแพทย์โรคหัวใจที่เขียนรายงานได้อย่างมีประสิทธิภาพ เมื่อทราบบริเวณทางกายวิภาคเฉพาะและส่วนที่สอดคล้องกัน ช่างภาพสามารถอธิบายและสื่อสารความผิดปกติหรือสิ่งที่ค้นพบได้อย่างถูกต้อง ทำให้มั่นใจได้ว่าการสื่อสารที่ชัดเจนและรัดกุมระหว่างผู้เชี่ยวชาญทั้งสอง
ความเข้าใจนี้มีความสำคัญอย่างยิ่งเมื่อแพทย์โรคหัวใจพยายามค้นหาตำแหน่งที่แม่นยำของปัญหา หรือเมื่อแพทย์ที่โทรเรียกพบปัญหาภายในพื้นที่หนึ่งๆ กระตุ้นให้ผู้ตรวจวิเคราะห์ด้วยคลื่นเสียงแสดงส่วนที่เกี่ยวข้องอย่างแม่นยำ เช่น ผนังกึ่งกลางด้านล่าง ดังนั้น การมีความเข้าใจที่ครอบคลุมในส่วนของหัวใจ AHA จึงเป็นชุดทักษะที่จำเป็น
แอปนี้จะทดสอบความรู้ของคุณโดยใช้ภาพสะท้อนจริง ซึ่งฉันมักจะพบว่าเป็นวิธีการสอนที่ดีที่สุด
What's new in the latest 2.0.0
ข้อมูล ECHO HEART WALL SEGMENTS QUIZ APK
ECHO HEART WALL SEGMENTS QUIZ รุ่นเก่า
ECHO HEART WALL SEGMENTS QUIZ 2.0.0
การดาวน์โหลดที่รวดเร็วและปลอดภัยเป็นพิเศษผ่านแอป APKPure
คลิกเพียงครั้งเดียวเพื่อติดตั้งไฟล์ XAPK/APK บน Android!






