Informazioni su ECHO HEART WALL SEGMENTS QUIZ
Approccio visivo basato su quiz per l'apprendimento dei segmenti cardiaci AHA: ecocardiografia
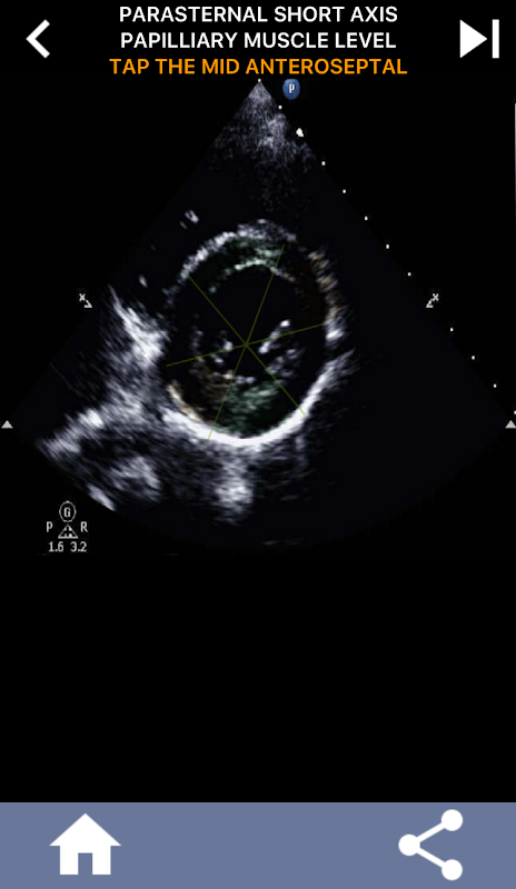
Comprendere i segmenti cardiaci dell'AHA (American Heart Association) è della massima importanza per un ecografista cardiaco per comunicare efficacemente con il cardiologo che scrive il referto. Conoscendo le regioni anatomiche specifiche e i segmenti corrispondenti, l'ecografista può descrivere e comunicare con precisione eventuali anomalie o risultati, garantendo una comunicazione chiara e concisa tra i due professionisti.
Questa comprensione diventa particolarmente cruciale quando il cardiologo cerca di accertare la posizione precisa di un problema o quando il medico di guardia identifica un problema all'interno di una regione specifica, spingendo l'ecografista a visualizzare con precisione il segmento corrispondente, come la parete medio-inferiore. Pertanto, possedere una conoscenza completa dei segmenti cardiaci AHA è un set di abilità essenziale.
Questa app metterà alla prova le tue conoscenze utilizzando immagini eco reali, che spesso trovo essere il miglior metodo di insegnamento.
What's new in the latest 2.0.0
Informazioni sull'APK ECHO HEART WALL SEGMENTS QUIZ
Vecchie versioni di ECHO HEART WALL SEGMENTS QUIZ
ECHO HEART WALL SEGMENTS QUIZ 2.0.0
Download super veloce e sicuro tramite l'app APKPure
Basta un clic per installare i file XAPK/APK su Android!






