ECHO HEART WALL SEGMENTS QUIZ
19.3 MB
Taille de fichier
Everyone
Android 5.0+
Android OS
À propos de ECHO HEART WALL SEGMENTS QUIZ
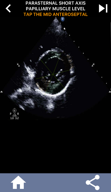
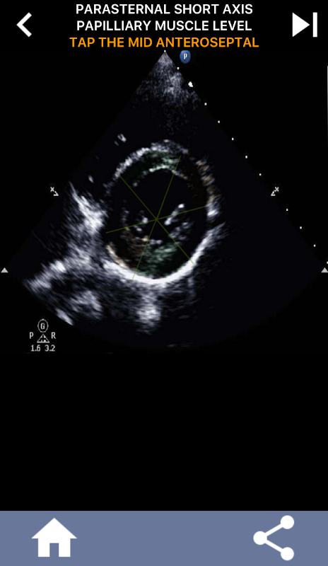
Approche visuelle basée sur des quiz pour apprendre les segments cardiaques AHA : échocardiographie
Comprendre les segments cardiaques de l'AHA (American Heart Association) est de la plus haute importance pour un échographiste cardiaque afin de communiquer efficacement avec le cardiologue qui rédige le rapport. En connaissant les régions anatomiques spécifiques et leurs segments correspondants, l'échographiste peut décrire et communiquer avec précision toute anomalie ou découverte, assurant une communication claire et concise entre les deux professionnels.
Cette compréhension devient particulièrement cruciale lorsque le cardiologue cherche à déterminer l'emplacement précis d'un problème ou lorsque le médecin de garde identifie un problème dans une région spécifique, incitant l'échographiste à afficher avec précision le segment correspondant, comme la paroi mi-inférieure. Ainsi, posséder une compréhension complète des segments cardiaques AHA est un ensemble de compétences essentielles.
Cette application testera vos connaissances en utilisant des images d'écho réelles, ce que je trouve souvent être la meilleure méthode d'enseignement.
What's new in the latest 2.0.0
Informations ECHO HEART WALL SEGMENTS QUIZ APK
Vieilles versions de ECHO HEART WALL SEGMENTS QUIZ
ECHO HEART WALL SEGMENTS QUIZ 2.0.0
Téléchargement super rapide et sûr via l'application APKPure
Un clic pour installer les fichiers XAPK/APK sur Android!






