ECHO HEART WALL SEGMENTS QUIZ
19.3 MB
Tamaño de archivo
Everyone
Android 5.0+
Android OS
Acerca del ECHO HEART WALL SEGMENTS QUIZ
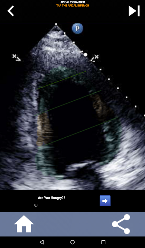
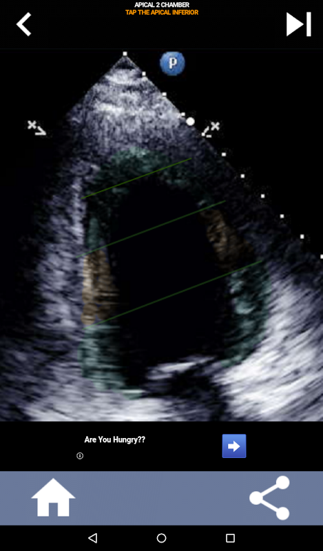
Enfoque visual basado en cuestionarios para aprender los segmentos cardíacos de la AHA: ecocardiografía
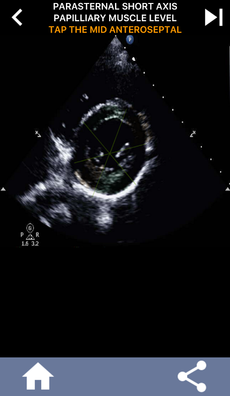
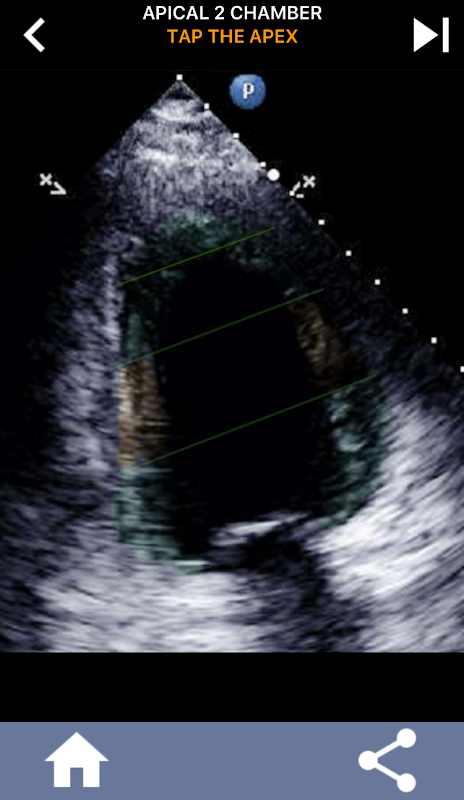
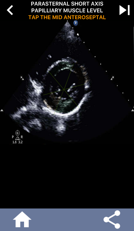
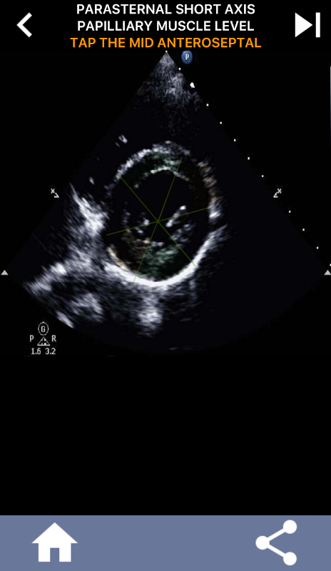
Comprender los segmentos cardíacos de la AHA (Asociación Estadounidense del Corazón) es de suma importancia para que un ecografista cardíaco se comunique de manera efectiva con el cardiólogo que escribe el informe. Al conocer las regiones anatómicas específicas y sus segmentos correspondientes, el ecografista puede describir y comunicar con precisión cualquier anomalía o hallazgo, asegurando una comunicación clara y concisa entre ambos profesionales.
Esta comprensión se vuelve particularmente crucial cuando el cardiólogo busca determinar la ubicación precisa de un problema o cuando el médico de guardia identifica un problema dentro de una región específica, lo que hace que el ecografista muestre con precisión el segmento correspondiente, como la pared inferior media. Por lo tanto, poseer una comprensión integral de los segmentos cardíacos de la AHA es un conjunto de habilidades esencial.
Esta aplicación pondrá a prueba su conocimiento utilizando imágenes de eco reales, que a menudo encuentro que es el mejor método de enseñanza.
Novedades más recientes 2.0.0
Información de ECHO HEART WALL SEGMENTS QUIZ APK
Versiones Antiguas de ECHO HEART WALL SEGMENTS QUIZ
ECHO HEART WALL SEGMENTS QUIZ 2.0.0
Descarga rápida y segura a través de APKPure App
¡Un clic para instalar archivos XAPK/APK en Android!






