Tentang ECHO HEART WALL SEGMENTS QUIZ
Pendekatan visual berbasis kuis untuk mempelajari segmen jantung AHA: Ekokardiografi
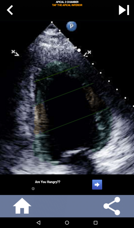
Memahami segmen jantung AHA (American Heart Association) sangat penting bagi ahli sonografi jantung untuk berkomunikasi secara efektif dengan ahli jantung yang menulis laporan. Dengan mengetahui daerah anatomi spesifik dan segmen yang sesuai, sonografer dapat secara akurat mendeskripsikan dan mengomunikasikan kelainan atau temuan apa pun, memastikan komunikasi yang jelas dan ringkas antara kedua profesional.
Pemahaman ini menjadi sangat penting ketika ahli jantung berusaha untuk memastikan lokasi yang tepat dari suatu masalah atau ketika dokter jaga mengidentifikasi masalah dalam wilayah tertentu, mendorong ahli sonografi untuk secara akurat menampilkan segmen yang sesuai, seperti dinding mid-inferior. Oleh karena itu, memiliki pemahaman yang komprehensif tentang segmen jantung AHA adalah keahlian yang penting.
Aplikasi ini akan menguji pengetahuan Anda menggunakan gambar gema yang sebenarnya, yang sering saya temukan sebagai metode pengajaran terbaik.
What's new in the latest 2.0.0
Informasi APK ECHO HEART WALL SEGMENTS QUIZ
Versi lama ECHO HEART WALL SEGMENTS QUIZ
ECHO HEART WALL SEGMENTS QUIZ 2.0.0
Pengunduhan Super cepat dan aman melalui aplikasi APKPure
Sekali klik untuk menginstal file XAPK/APK di Android!






