عن ECHO HEART WALL SEGMENTS QUIZ
نهج مرئي قائم على الاختبار لتعلم قطاعات القلب AHA: تخطيط صدى القلب
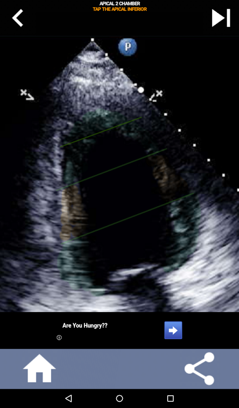
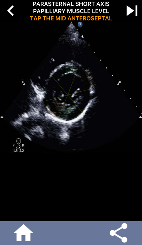
يعد فهم قطاعات القلب من جمعية القلب الأمريكية (AHA) أمرًا في غاية الأهمية بالنسبة لأخصائي تخطيط الصدى القلبي للتواصل بشكل فعال مع طبيب القلب الذي يكتب التقرير. من خلال معرفة المناطق التشريحية المحددة والقطاعات المقابلة لها ، يمكن لأخصائي الموجات فوق الصوتية أن يصف بدقة أي تشوهات أو نتائج ونقلها ، مما يضمن التواصل الواضح والموجز بين كلا المهنيين.
يصبح هذا الفهم حاسمًا بشكل خاص عندما يسعى طبيب القلب إلى التأكد من الموقع الدقيق للمشكلة أو عندما يحدد الطبيب عند الطلب مشكلة داخل منطقة معينة ، مما يدفع أخصائي الموجات فوق الصوتية لعرض المقطع المقابل بدقة ، مثل الجدار الأوسط السفلي. وبالتالي ، فإن امتلاك فهم شامل لمقاطع القلب AHA هو مجموعة مهارات أساسية.
سيختبر هذا التطبيق معرفتك باستخدام صور صدى فعلية ، والتي أجدها غالبًا أفضل طريقة تدريس.
What's new in the latest 2.0.0
معلومات ECHO HEART WALL SEGMENTS QUIZ APK
الإصدارات القديمة لـ ECHO HEART WALL SEGMENTS QUIZ
ECHO HEART WALL SEGMENTS QUIZ 2.0.0
قم بتنزيل سريع وآمن بالغاية عبر تطبيق APKPure
قم بتثبيت ملفات XAPK/APK بنقرة واحدة على أندرويد!






