ECHO HEART WALL SEGMENTS QUIZ
19.3 MB
Rozmiar Pliku
Everyone
Android 5.0+
Android OS
O ECHO HEART WALL SEGMENTS QUIZ
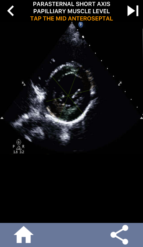
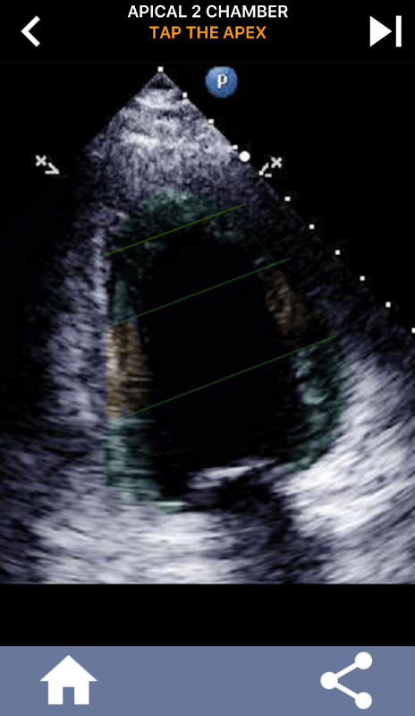
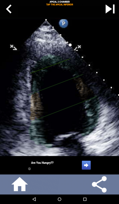
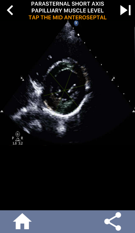
Oparte na quizach wizualne podejście do nauki segmentów serca AHA: echokardiografia
Zrozumienie segmentów serca AHA (American Heart Association) ma ogromne znaczenie dla skutecznej komunikacji kardiologa z kardiologiem, który pisze raport. Znając określone regiony anatomiczne i odpowiadające im segmenty, sonograf może dokładnie opisać i przekazać wszelkie nieprawidłowości lub ustalenia, zapewniając jasną i zwięzłą komunikację między obydwoma specjalistami.
To zrozumienie staje się szczególnie istotne, gdy kardiolog stara się ustalić dokładną lokalizację problemu lub gdy lekarz dyżurny zidentyfikuje problem w określonym regionie, co skłoniło sonografa do dokładnego wyświetlenia odpowiedniego segmentu, takiego jak środkowa dolna ściana. Zatem posiadanie wszechstronnego zrozumienia segmentów serca AHA jest niezbędnym zestawem umiejętności.
Ta aplikacja przetestuje Twoją wiedzę przy użyciu rzeczywistych obrazów echa, które często uważam za najlepszą metodę nauczania.
What's new in the latest 2.0.0
Informacje ECHO HEART WALL SEGMENTS QUIZ APK
Stare wersje ECHO HEART WALL SEGMENTS QUIZ
ECHO HEART WALL SEGMENTS QUIZ 2.0.0
Superszybkie i bezpieczne pobieranie za pośrednictwem aplikacji APKPure
Jedno kliknięcie, aby zainstalować pliki XAPK/APK na Androidzie!






