ECHO HEART WALL SEGMENTS QUIZ
19.3 MB
Tamanho do arquivo
Everyone
Android 5.0+
Android OS
Sobre este ECHO HEART WALL SEGMENTS QUIZ
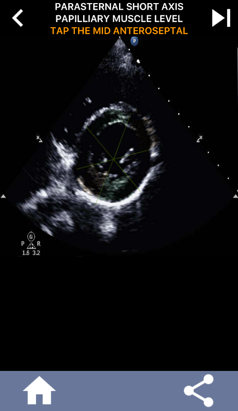
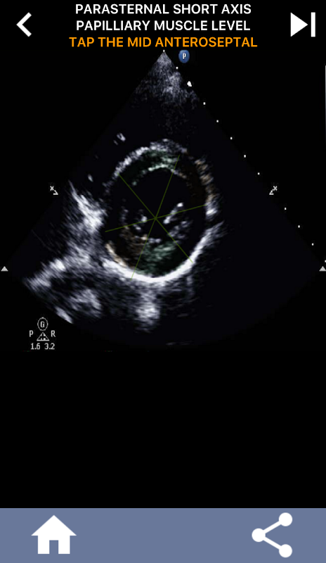
Abordagem visual baseada em questionário para aprender os segmentos cardíacos da AHA: ecocardiografia
Compreender os segmentos cardíacos da AHA (American Heart Association) é de extrema importância para um ultrassonografista cardíaco se comunicar efetivamente com o cardiologista que escreve o relatório. Ao conhecer as regiões anatômicas específicas e seus segmentos correspondentes, o ultrassonografista pode descrever e comunicar com precisão quaisquer anormalidades ou achados, garantindo uma comunicação clara e concisa entre os dois profissionais.
Esse entendimento torna-se particularmente crucial quando o cardiologista procura determinar a localização precisa de um problema ou quando o médico de plantão identifica um problema em uma região específica, levando o ultrassonografista a exibir com precisão o segmento correspondente, como a parede médio-inferior. Assim, possuir uma compreensão abrangente dos segmentos cardíacos da AHA é um conjunto de habilidades essenciais.
Este aplicativo testará seu conhecimento usando imagens de eco reais, que geralmente considero o melhor método de ensino.
Novidades em 2.0.0 mais recente
Informações sobre ECHO HEART WALL SEGMENTS QUIZ APK
Versões Antigas de ECHO HEART WALL SEGMENTS QUIZ
ECHO HEART WALL SEGMENTS QUIZ 2.0.0
Baixar de Forma Rápida e Segura via APKPure App
Um clique para instalar arquivos XAPK/APK no Android!






