Mengenai ECHO HEART WALL SEGMENTS QUIZ
Pendekatan visual berasaskan kuiz untuk mempelajari segmen jantung AHA: Ekokardiografi
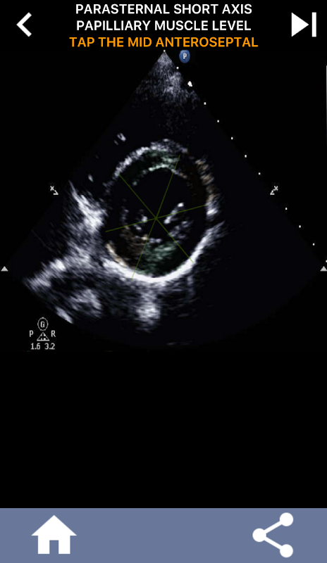
Memahami segmen jantung AHA (Persatuan Jantung Amerika) adalah amat penting bagi pakar sonografi jantung untuk berkomunikasi secara berkesan dengan pakar kardiologi yang menulis laporan. Dengan mengetahui kawasan anatomi tertentu dan segmennya yang sepadan, pakar sonograf boleh menerangkan dengan tepat dan menyampaikan sebarang kelainan atau penemuan, memastikan komunikasi yang jelas dan ringkas antara kedua-dua profesional.
Pemahaman ini menjadi sangat penting apabila pakar kardiologi berusaha untuk memastikan lokasi tepat masalah atau apabila doktor semasa panggilan mengenal pasti isu dalam kawasan tertentu, mendorong pakar sonograf untuk memaparkan segmen yang sepadan dengan tepat, seperti dinding pertengahan bawah. Oleh itu, memiliki pemahaman menyeluruh tentang segmen jantung AHA adalah set kemahiran yang penting.
Aplikasi ini akan menguji pengetahuan anda menggunakan imej gema sebenar, yang sering saya dapati sebagai kaedah pengajaran terbaik.
What's new in the latest 2.0.0
Maklumat APK ECHO HEART WALL SEGMENTS QUIZ
Versi lama ECHO HEART WALL SEGMENTS QUIZ
ECHO HEART WALL SEGMENTS QUIZ 2.0.0
Muat Turun Super Pantas dan Selamat melalui Apl APKPure
Satu klik untuk memasang fail XAPK/APK pada Android!






