このECHO HEART WALL SEGMENTS QUIZについて
AHA 心臓セグメントを学習するためのクイズベースの視覚的アプローチ: 心エコー検査
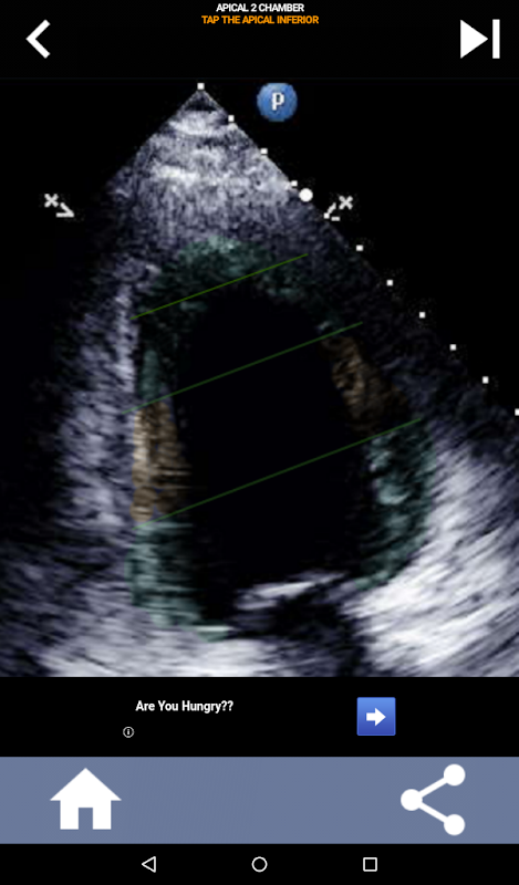
心臓超音波検査技師がレポートを作成する心臓専門医と効果的にコミュニケーションをとるためには、AHA (米国心臓協会) の心臓セグメントを理解することが最も重要です。特定の解剖学的領域とそれに対応する部分を知ることで、超音波検査者は異常や所見を正確に説明して伝えることができ、両方の専門家の間で明確かつ簡潔なコミュニケーションが確保されます。
この理解は、心臓専門医が問題の正確な位置を確認しようとする場合、または当直医師が特定の領域内の問題を特定し、超音波検査者に中下壁などの対応する部分を正確に表示するよう促す場合に特に重要になります。したがって、AHA 心臓セグメントを包括的に把握することは必須のスキルセットです。
このアプリは実際のエコー画像を使用してあなたの知識をテストします。これが最良の教育方法であると私はよく思います。
最新バージョン 2.0.0 の更新情報
Last updated on 2023年09月15日
Minor bug fixes and improvements. Install or update to the newest version to check it out!
ECHO HEART WALL SEGMENTS QUIZ APK 情報
APKPure で安全で高速な APK のダウンロード
APKPure は署名検証を使用して、ウイルスフリーの ECHO HEART WALL SEGMENTS QUIZ APK ダウンロードを保証します。
ECHO HEART WALL SEGMENTS QUIZの旧バージョン
ECHO HEART WALL SEGMENTS QUIZ 2.0.0
19.3 MB2023年09月15日






