About ECHO HEART WALL SEGMENTS QUIZ
Quiz-based visual approach to learning the AHA heart segments: Echocardiography
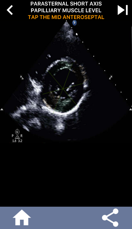
Understanding the AHA (American Heart Association) heart segments is of utmost importance for a cardiac sonographer to effectively communicate with the cardiologist who writes the report. By knowing the specific anatomical regions and their corresponding segments, the sonographer can accurately describe and communicate any abnormalities or findings, ensuring clear and concise communication between both professionals.
This understanding becomes particularly crucial when the cardiologist seeks to ascertain the precise location of a problem or when the on-call physician identifies an issue within a specific region, prompting the sonographer to accurately display the corresponding segment, such as the mid-inferior wall. Thus, possessing a comprehensive grasp of the AHA heart segments is essential skill set.
This app will test your knowlegde using actual echo images, which I often find to be the best teaching method.
What's new in the latest 2.0.0
ECHO HEART WALL SEGMENTS QUIZ APK Information
Old Versions of ECHO HEART WALL SEGMENTS QUIZ
ECHO HEART WALL SEGMENTS QUIZ 2.0.0
Super Fast and Safe Downloading via APKPure App
One-click to install XAPK/APK files on Android!






